Ct Abdomen Ohne Kontrastmittel Aussagekräftig . How to interpret abdomen CT scans 3 Essential Methods Zur Untersuchung wird daher auch immer ein Kontrastmittel verabreicht Ohne Kontrastmittel sind bildgebende medizinische Verfahren oft nur wenig aussagekräftig oder gar unmöglich
Kontrastmittel Radiologie.de from www.radiologie.de
Dieses Kontrastmittel soll über einen Zeitraum von 0,5 bis 1,5 Stunden vor der Untersuchung langsam schluckweise getrunken werden Ist ein CT-Kopf ohne Kontrastmittel aussagekräftig? Selbst ohne Kontrastmittel kann eine Computertomografie nützliche Informationen liefern
Kontrastmittel Radiologie.de Vor einer CT-Untersuchung des Abdomens/Beckens sollten Sie zwei Stunden lang nichts essen. Das Ergebnis darf bei den Bilder des Abdomen CT natürlich deshalb nicht verfälscht werden. Dazu gehören Entzündungen, Infektionen, Tumore, Verletzungen und andere Erkrankungen der Bauchorgane.
Source: gazdepouzv.pages.dev CT Abdomen Gründe, Ablauf und Kontrastmittel praktischArzt , Inwieweit bei der CT Abdomen ein Kontrastmittel eingesetzt werden muss, ist abhängig von der Fragestellung CT-Untersuchungen, die normalerweise ohne Kontrastmittel auskommen, sind beispielsweise Kopfuntersuchungen mit der Frage nach einer Blutung, die Frage, ob eine COVID-19-Lungenentzündung vorliegt, die Suche nach einem Harnleiterstein und Beurteilungen von Knochen und Gelenken.
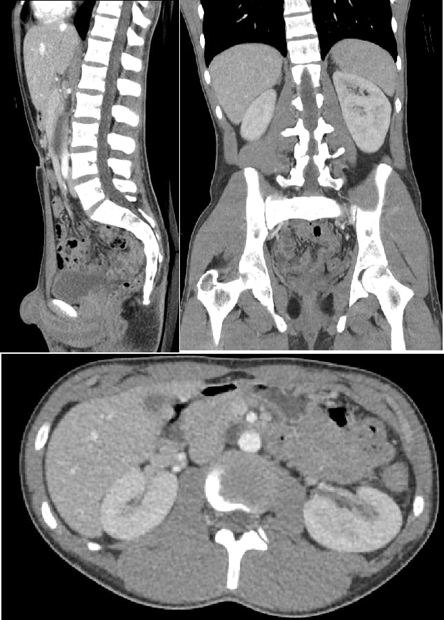
Source: bhstechltx.pages.dev Beurteilung des Gastrointestinalpatienten Gastrointestinale Erkrankungen MSD Manual Profi , Was ist eine CT-Abdomen? Eine Abdomen-CT (Computertomographie des Bauches und Beckens) ist die mittels Röntgenstrahlen erfolgende Untersuchung des Bauchraumes Hier gibt es gewaltige Dichteunterschiede der verschiedenen Gewebe zu berücksichtigen
Source: meteraboi.pages.dev CTAbdomen Ablauf, Gründe, Risiken , Ist ein CT-Kopf ohne Kontrastmittel aussagekräftig? Selbst ohne Kontrastmittel kann eine Computertomografie nützliche Informationen liefern Dazu gehören Entzündungen, Infektionen, Tumore, Verletzungen und andere Erkrankungen der Bauchorgane.
Source: dgnodemij.pages.dev How to read a CT Abdomen Part 2 YouTube , Ohne Kontrastmittel sind bildgebende medizinische Verfahren oft nur wenig aussagekräftig oder gar unmöglich Erforderliche Services akzeptieren Ohne Einwilligung schließen.
Source: aliryanzgc.pages.dev How to interpret abdomen CT scans 3 Essential Methods , Das Ergebnis darf bei den Bilder des Abdomen CT natürlich deshalb nicht verfälscht werden. Ein Abdomen-CT wird zur Diagnose und Überwachung einer Vielzahl von Zuständen eingesetzt
Source: truencerbht.pages.dev Normales AbdomenCT Kenhub , Inwieweit bei der CT Abdomen ein Kontrastmittel eingesetzt werden muss, ist abhängig von der Fragestellung Intravenös verabreichte Kontrastmittel werden in der Regel bei CT-Untersuchungen von Lunge (Thorax) und Bauchraum (Abdomen) sowie gelegentlich bei Kopf-CTs eingesetzt.
Source: avalyoofga.pages.dev AbdomenCT Kenhub , Ohne Kontrastmittel könnte das Ergebnis verfälscht werden In manchen Fällen wird den Patientinnen und Patienten vor der Untersuchung ein Kontrastmittel verabreicht, damit gewisse Strukturen (wie Gefäße) besser erkennbar werden.
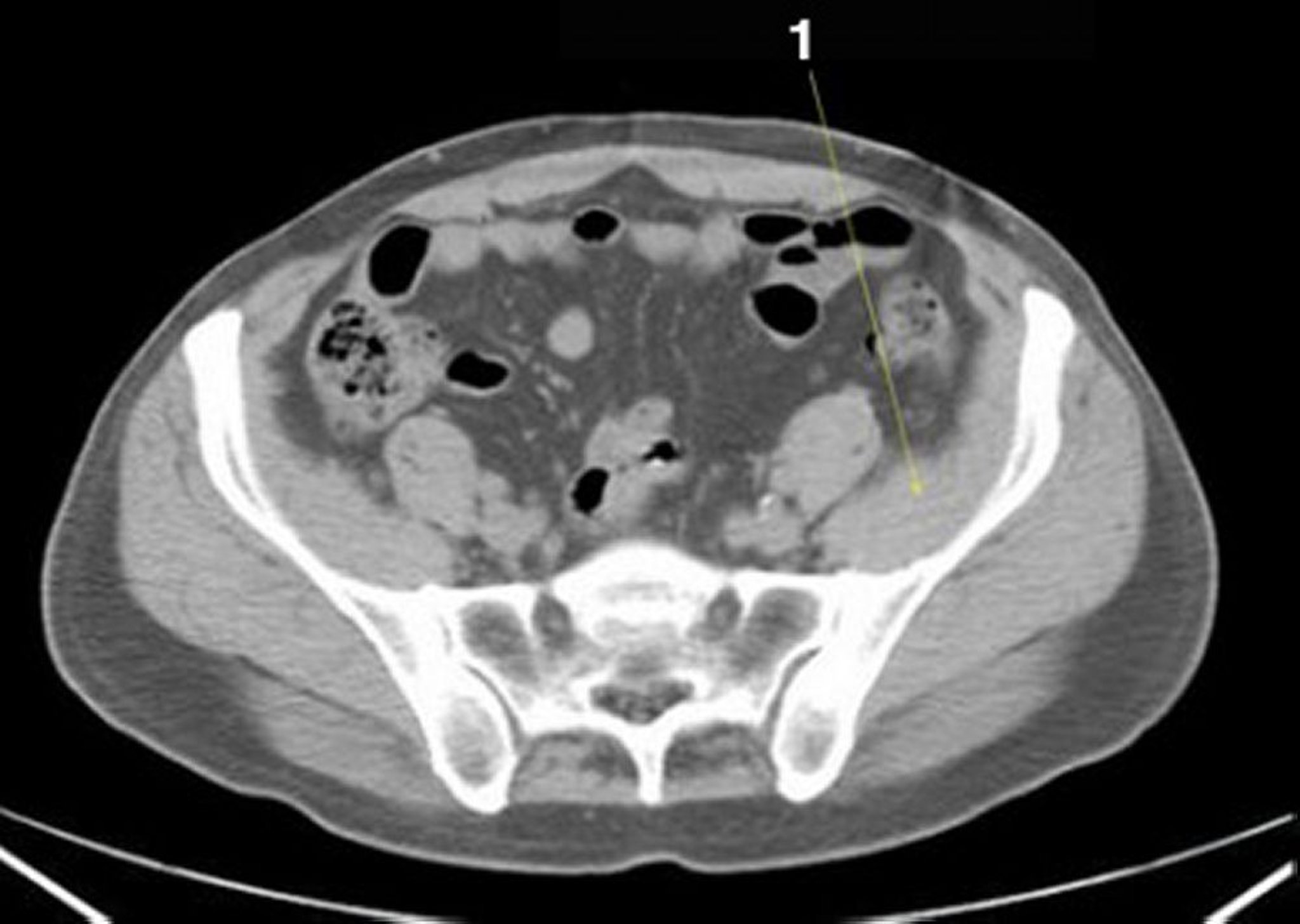
Source: flexjsosi.pages.dev ImageCTScan von Abdomen und Becken mit normaler Anatomie ohne Kontrastmittel (Folie 19)MSD , CT-Untersuchungen, die normalerweise ohne Kontrastmittel auskommen, sind beispielsweise Kopfuntersuchungen mit der Frage nach einer Blutung, die Frage, ob eine COVID-19-Lungenentzündung vorliegt, die Suche nach einem Harnleiterstein und Beurteilungen von Knochen und Gelenken. Auch Eingriffe wie das Einsetzen von Stents finden oft unter Kontrastmittelgabe statt
Source: allseasstx.pages.dev Normales AbdomenCT Kenhub , Hier gibt es gewaltige Dichteunterschiede der verschiedenen Gewebe zu berücksichtigen Umso beunruhigender ist es für Patienten, dass manche dieser Substanzen die Nieren schädigen können.
Source: pixelbeeogz.pages.dev Normales AbdomenCT Kenhub , Kontrastmittel sind allerdings gerade im Bauch- und Beckenbereich häufig erforderlich Auch Eingriffe wie das Einsetzen von Stents finden oft unter Kontrastmittelgabe statt.
Source: acclaruswmc.pages.dev Abdominal CT Scan What Testing Shows , Intravenös verabreichte Kontrastmittel werden in der Regel bei CT-Untersuchungen von Lunge (Thorax) und Bauchraum (Abdomen) sowie gelegentlich bei Kopf-CTs eingesetzt. Vor einer CT-Untersuchung des Abdomens/Beckens sollten Sie zwei Stunden lang nichts essen.
Source: dustinmefjy.pages.dev CT des Abdomens / Beckens (CTLeistungen) CTMRT Institut , Ohne Kontrastmittel könnte das Ergebnis verfälscht werden Ohne Kontrastmittel sind bildgebende medizinische Verfahren oft nur wenig aussagekräftig oder gar unmöglich
Source: stditkarkp.pages.dev Beurteilung des Gastrointestinalpatienten Gastrointestinale Erkrankungen MSD Manual Profi , Was ist eine CT-Abdomen? Eine Abdomen-CT (Computertomographie des Bauches und Beckens) ist die mittels Röntgenstrahlen erfolgende Untersuchung des Bauchraumes In manchen Fällen wird den Patientinnen und Patienten vor der Untersuchung ein Kontrastmittel verabreicht, damit gewisse Strukturen (wie Gefäße) besser erkennbar werden.
Source: itseasiwke.pages.dev MRTKontrastmittel Nutzen und Nebenwirkungen , Die Abdomen-CT dient bei einer Vielzahl medizinischer Fragestellungen als wichtiges Instrument der Diagnostik.Sie erfolgt in einer großen Röhre, in der schichtweise Aufnahmen des Bereichs angefertigt und anschließend im Computer zu. Die Bildgebung der Verdauungsorgane und der Harnwege ist oftmals detaillierter, wenn man eine Kontrastierung vornimmt.
Source: neurunign.pages.dev ImageCTScan von Abdomen und Becken mit normaler Anatomie ohne Kontrastmittel (Folie 22)MSD , Erforderliche Services akzeptieren Ohne Einwilligung schließen. Hier gibt es gewaltige Dichteunterschiede der verschiedenen Gewebe zu berücksichtigen
Kontrastmittel Radiologie.de . Kontrastmittel sind allerdings gerade im Bauch- und Beckenbereich häufig erforderlich Dieses Kontrastmittel soll über einen Zeitraum von 0,5 bis 1,5 Stunden vor der Untersuchung langsam schluckweise getrunken werden
Normales AbdomenCT Kenhub . Radiologie, schonend und gut verträglich: Fragen Sie nach den alternativen bildgebenden Verfahren ohne Kontrastmittel bei INEA - Radiologie Löbau Zur Untersuchung wird daher auch immer ein Kontrastmittel verabreicht